Không phải ai bị buồng trứng đa nang cũng bị vô sinh nhưng hầu như nếu không phát hiện sớm thì buồng trứng đa nang là một trong những nguyên nhân gây nên sự hiếm muộn về đường con cái. Khi testosteron sinh ra trong buồng trứng quá nhiều, trứng phát dục chậm hoặc dừng phát triển khi ở giai đoạn chưa chín.
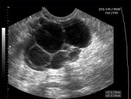
Người bị mắc bệnh buồng trứng đa nang có thể kinh nguyệt ít, ít dần, không đúng chu kỳ, không thấy hiện tượng trứng rụng hằng tháng, kết hôn sau 3 năm vẫn chưa có con. Buồng trứng đa nang có một lớp vỏ dày, chắc và không có sẹo phóng noãn. Nếu không được điều trị, các nang trứng không to lên được, không vỡ được, nằm dưới lớp vỏ dày của buồng trứng. Khi siêu âm, đặc biệt là siêu âm bằng đầu dò qua đường âm đạo, sẽ thấy nhiều nang trứng kích thước dưới 10mm, phân bố như chuỗi hạt đeo cổ nằm ngay lớp vỏ buồng trứng. Phẫu thuật ổ bụng có thể phát hiện thấy vỏ màng bao quanh buồng trứng dày lên, mặt cắt cho thấy có nhiều bọc rỗng với kích thước khác nhau.
Để điều trị bệnh đa nang buồng trứng có rất nhiều phương pháp nhưng trước hết là phải gây phóng noãn. Đối với phụ nữ chưa lập gia đình, chưa quan hệ tình dục, chưa muốn sinh con thì được dùng thuốc kích thích phóng noãn. Tùy thuộc vào độ dày của vỏ buồng trứng và sự đáp ứng thuốc của từng cơ thể, trứng sẽ phát triển to lên và tự vỡ. Đối với phụ nữ hiếm muộn, trước hết cho dùng thuốc kích thích phóng noãn, tiếp theo là can thiệp ngoại khoa bằng việc cắt bỏ một phần hoặc chọc thủng vài vị trí bề mặt buồng trứng bằng nội soi.
Ngoài việc chọc vài điểm trên bề mặt buồng trứng để phá vỡ bức tường dày, bác sĩ thường chọc bớt một vài nang noãn phát triển dở dang trước kia để làm thay đổi nội tiết, làm tăng tác dụng của thuốc kích thích phóng noãn. Động tác này cũng giúp các nang noãn có cơ hội phát triển và lách vào những khoảng trống vừa tạo để to lên và vỡ ra ngoài. Bị mắc bệnh buồng trứng đa nang mà có thai thì cũng phải cẩn thận vì rất dễ bị sảy thai.
Vì vậy, nếu có thai, hãy thông báo với bác sĩ về bệnh tật của mình để được hướng dẫn cách giữ gìn và bảo vệ thai nhi.
sưu tầm
Người bị mắc bệnh buồng trứng đa nang có thể kinh nguyệt ít, ít dần, không đúng chu kỳ, không thấy hiện tượng trứng rụng hằng tháng, kết hôn sau 3 năm vẫn chưa có con. Buồng trứng đa nang có một lớp vỏ dày, chắc và không có sẹo phóng noãn. Nếu không được điều trị, các nang trứng không to lên được, không vỡ được, nằm dưới lớp vỏ dày của buồng trứng. Khi siêu âm, đặc biệt là siêu âm bằng đầu dò qua đường âm đạo, sẽ thấy nhiều nang trứng kích thước dưới 10mm, phân bố như chuỗi hạt đeo cổ nằm ngay lớp vỏ buồng trứng. Phẫu thuật ổ bụng có thể phát hiện thấy vỏ màng bao quanh buồng trứng dày lên, mặt cắt cho thấy có nhiều bọc rỗng với kích thước khác nhau.
Để điều trị bệnh đa nang buồng trứng có rất nhiều phương pháp nhưng trước hết là phải gây phóng noãn. Đối với phụ nữ chưa lập gia đình, chưa quan hệ tình dục, chưa muốn sinh con thì được dùng thuốc kích thích phóng noãn. Tùy thuộc vào độ dày của vỏ buồng trứng và sự đáp ứng thuốc của từng cơ thể, trứng sẽ phát triển to lên và tự vỡ. Đối với phụ nữ hiếm muộn, trước hết cho dùng thuốc kích thích phóng noãn, tiếp theo là can thiệp ngoại khoa bằng việc cắt bỏ một phần hoặc chọc thủng vài vị trí bề mặt buồng trứng bằng nội soi.
Ngoài việc chọc vài điểm trên bề mặt buồng trứng để phá vỡ bức tường dày, bác sĩ thường chọc bớt một vài nang noãn phát triển dở dang trước kia để làm thay đổi nội tiết, làm tăng tác dụng của thuốc kích thích phóng noãn. Động tác này cũng giúp các nang noãn có cơ hội phát triển và lách vào những khoảng trống vừa tạo để to lên và vỡ ra ngoài. Bị mắc bệnh buồng trứng đa nang mà có thai thì cũng phải cẩn thận vì rất dễ bị sảy thai.
Vì vậy, nếu có thai, hãy thông báo với bác sĩ về bệnh tật của mình để được hướng dẫn cách giữ gìn và bảo vệ thai nhi.
sưu tầm
No comments:
Post a Comment